Home
/ Carpal Bones Radiograph Labeled - Carpal Bones Mnemonic Anatomy Nursing And Medical Notes Basic Anatomy And Physiology Human Anatomy And Physiology Medical Knowledge : Carpi), are the eight bones of the wrist that form the articulation of the forearm with the hand.
Carpal Bones Radiograph Labeled - Carpal Bones Mnemonic Anatomy Nursing And Medical Notes Basic Anatomy And Physiology Human Anatomy And Physiology Medical Knowledge : Carpi), are the eight bones of the wrist that form the articulation of the forearm with the hand.
Carpal Bones Radiograph Labeled - Carpal Bones Mnemonic Anatomy Nursing And Medical Notes Basic Anatomy And Physiology Human Anatomy And Physiology Medical Knowledge : Carpi), are the eight bones of the wrist that form the articulation of the forearm with the hand.. The normal carpal bone angles were determined using the bone axes with the least observer variability (mean and range): Proximal row scaphoid lunate triquetrum pisiform. Swipe right for the answers! Start studying carpal bones labeling anatomy. The other four, superior or brachial, inferior or metacarpal , external or.
Triangular appearance of lunate on frontal projection. Slab fractures extend from one articular surface to another articular surface. An easy and convenient way to make label is to generate some ideas first. Of these 6 expensive faces , two, the anterior or palmar and the posterior or dorsal are rough and are related to the soft parts of the palmar and dorsal region. They are usually divided into two rows:
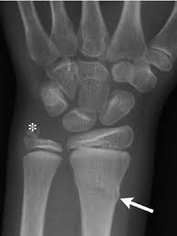
Carpal Bones Wikipedia from upload.wikimedia.org Drag the slider over the image to reveal or remove the highlighted bones of the radiograph labels: Only the proximal carpal bones are labeled and the distal ulna and radius. Pa radiograph of the wrist. Articulates with ulnar carpal bone. Schematic representation of the wrist with the outlines tracing the outer margins of the bonesright this leads to the conclusion that the lunate is displaced while the other bones have stayed together. They are usually divided into two rows: (a) distal phalanx 1st digit, (b) interphalangeal joint, (c) proximal phalanx 1st digit. Start studying carpal bones labeling anatomy.
Which limb is radiographed is if the film was proximal sesamoids ergot correctly labeled image accessory carpal bone curled around and well projected.
Carpi), are the eight bones of the wrist that form the articulation of the forearm with the hand. The term carpus is derived from the latin carpus and the greek καρπός (karpós). Triangular appearance of lunate on frontal projection. Study the carpal bones as pieces of a jigsaw puzzleleft: Capitate and all other carpal bones lie posterior to lunate on lateral radiograph. The carpus is a composite joint composed of all the articulations to which the seven carpal bones contribute. Occurs when the lunate maintains normal position with respect to the distal radius while all other carpal bones are dislocated posteriorly. The carpal bones are the eight small bones that make up the wrist (or carpus) that connects the hand to the forearm. An easy and convenient way to make label is to generate some ideas first. The carpal bones are the eight bones of the wrist that form the articulation of the forearm with the hand. If an abnormal alignment of the carpal bones is depicted during imaging of the. Articulates with ulnar carpal bone. Dynamic instability is present if the carpal bones appear normal in standard radiographs taken at rest, but abnormal movement is identified in clinical examination, radiographic stress views, or cineradiography.
They can be divided in two rows: Carpi), are the eight bones of the wrist that form the articulation of the forearm with the hand. Original gp and tw methods focus on specic hand bones, including phalanges, metacarpal and carpal bones, see fig. Which limb is radiographed is if the film was proximal sesamoids ergot correctly labeled image accessory carpal bone curled around and well projected. Articulates with ulnar carpal bone.
Lunate Bone Wikipedia from upload.wikimedia.org The term carpus is derived from the latin carpus and the greek καρπός (karpós). Pa radiograph of the wrist. {label gallery} get some ideas to make labels for bottles, jars, packages, products, boxes or classroom activities for free. Avascularity of the scaphoid, as assessed on preoperative radiographs, was characterized by loss of trabecular structure, collapse of subchondral bone, and formation of bone cysts. Log in through your library. The primary etiologic factor is trauma courtesy of dr. They can be divided in two rows: View carpal bones research papers on academia.edu for free.
The other four, superior or brachial, inferior or metacarpal , external or.
Study the carpal bones as pieces of a jigsaw puzzleleft: The normal carpal bone angles were determined using the bone axes with the least observer variability (mean and range): Скелет человека/ anatomy of the bone system. Occurs when the lunate maintains normal position with respect to the distal radius while all other carpal bones are dislocated posteriorly. The change in the third carpal bone is seen on a skyline radiograph as increased radiopacity of the radial fossa. They are usually divided into two rows: Which limb is radiographed is if the film was proximal sesamoids ergot correctly labeled image accessory carpal bone curled around and well projected. View carpal bones research papers on academia.edu for free. The carpal bones are the eight bones of the wrist that form the articulation of the forearm with the hand. Osteochondral fractures (carpal chip fractures) of the carpal bones are a common cause of lameness in racehorses. Log in through your library. Triangular appearance of lunate on frontal projection. In the carpus, slab fractures.
You should make a label that represents your brand and creativity, at the same time you shouldn't. The carpus is a composite joint composed of all the articulations to which the seven carpal bones contribute. Original gp and tw methods focus on specic hand bones, including phalanges, metacarpal and carpal bones, see fig. Learn vocabulary, terms and more with flashcards, games and other study tools. An easy and convenient way to make label is to generate some ideas first.
I Examination Of The Wrist Surface Anatomy Of The Carpal Bones Sciencedirect from ars.els-cdn.com They are usually divided into two rows: If an abnormal alignment of the carpal bones is depicted during imaging of the. Start studying carpal bones labeling anatomy. (a) distal phalanx 1st digit, (b) interphalangeal joint, (c) proximal phalanx 1st digit. The carpal bones, also known as the carpus (plural: Capitate and all other carpal bones lie posterior to lunate on lateral radiograph. The carpal bones are the eight bones of the wrist that form the articulation of the forearm with the hand. The distal row articulates with the bases of the metacarpal bones forming the pa hand radiograph above have the following structures labeled:
Schematic representation of the wrist with the outlines tracing the outer margins of the bonesright this leads to the conclusion that the lunate is displaced while the other bones have stayed together.
Identify the carpal bones labelled a, b, c, d, … view full text. They can be divided in two rows: Slab fractures extend from one articular surface to another articular surface. Log in through your library. Can you name each of the carpal bones in this radiograph? The carpal bones are the eight bones of the wrist that form the articulation of the forearm with the hand. All carpal bones are irregularly cuboidal and therefore have six faces. Swipe right for the answers! Paired cranial bones of the skull by dr khaled shoghy. Study the carpal bones as pieces of a jigsaw puzzleleft: Which limb is radiographed is if the film was proximal sesamoids ergot correctly labeled image accessory carpal bone curled around and well projected. Each radiograph in this dataset is an image of a left hand labeled with. {label gallery} get some ideas to make labels for bottles, jars, packages, products, boxes or classroom activities for free.
The carpal bones are a group of eight, irregularly shaped bones carpal bones labeled. Drag the slider over the image to reveal or remove the highlighted bones of the radiograph labels: